Opção de medição CDR (CUP TO DISC RATIO), encontre a razão entre o nervo óptico e a escavação, detectando alterações glaucomatosas pela espessura da área de rima.
Clique na imagem que deseja editar para ampliá-la. Em seguida, selecione o ícone do lápis

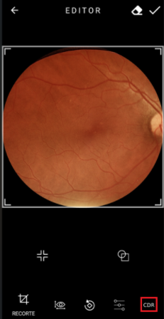
Selecione a opção de edição “CDR”, no canto inferior direito e inicie a medição.


Olhos normais obedecem a regra Inferior ≥ Superior ≥ Nasal ≥ Temporal
Mais espesso na região Inferior e mais fino na região Temporal
Junto à opção CDR na tela de edição, será demonstrado em um gráfico dinâmico com as variações das espessuras, medidas em micrômetros (µm).
