Saiba como o Phelcom Eyer auxilia o Dr. Tiago Prata no diagnóstico e acompanhamento de pacientes com glaucoma

novembro 18, 2020
Gabriela Marques

Share

Glaucomatólogo utiliza Eyer nos atendimentos em seu consultório e em projetos de pesquisa.

Atualmente, o glaucoma é a primeira causa de cegueira irreversível no mundo todo. De acordo com estimativa da Organização Mundial de Saúde (OMS), a doença deve atingir 80 milhões de pessoas neste ano. Em 2040, esse número chegará a 111,5 milhões. Alarmante.

A falta de assistência oftalmológica é um dos principais motivos para este cenário. Por exemplo, comunidades remotas e de baixa e média renda são as que mais sofrem com a precariedade do acesso à saúde, como falta de atendimento especializado, exames regulares, medicamentos e tratamentos.

Como o glaucoma é assintomático no estágio inicial, o diagnóstico precoce é fundamental para controlar o progresso da doença. E, desse modo, possibilitar melhor qualidade de vida ao portador.

A retinografia é um dos exames que auxiliam na detecção e acompanhamento do problema. “É possível documentar a hemorragia de disco óptico, característica no glaucoma, de forma mais fácil neste exame em comparação ao de fundo de olho, por exemplo. Ao não fotografar, você incorre no risco de deixar de diagnosticá-la, o que está diretamente ligado ao mau prognóstico da doença”, ressalta o glaucomatólogo Tiago Prata*.

O especialista também é professor do Departamento de Oftalmologia da Escola Paulista de Medicina da Universidade Federal de São Paulo (Unifesp), diretor científico da Sociedade Brasileira de Glaucoma (SBG) e pesquisador associado da Mayo Clinic, situada na Flórida (EUA).

Prata ressalta que é imprescindível tirar fotografias do disco óptico para fornecer um diagnóstico assertivo do glaucoma. “Por isso fotografo meus pacientes em praticamente todas as consultas. E isso agrega muito valor ao atendimento que busco oferecer”, explica.

Retinógrafo portátil

Retinografia de olho esquerdo com glaucoma. Foto: Tiago Prata

Como inclui o exame já na primeira consulta, o médico buscou por um retinógrafo portátil que oferecesse bom custo-benefício e alta qualidade de imagens. “Tive contato com o Phelcom Eyer em um projeto de pesquisa realizado fora do centro de diagnóstico, junto a outros colegas. O foco era a triagem por meio da avaliação de fundo de olho. O Eyer surgiu como um meio de poder examinar em larga escala e sem a necessidade de transportar aparelhos grandes, pesados e, evidentemente, mais caros para diferentes lugares”, conta.

O equipamento funciona acoplado a um smartphone e realiza exames de retina de alta qualidade, em poucos minutos e sem a necessidade de dilatação da pupila. Há quase um ano, Prata utiliza o aparelho como uma forma de pré-consulta e no acompanhamento de seus pacientes. “É de fácil manuseio, tem custo-benefício interessante e possibilita o armazenamento em nuvem, com fácil acesso às imagens”, avalia.

Exame de fundo de olho de paciente com alta miopia e glaucoma. Foto: Tiago Prata

Para o glaucomatólogo, uma das vantagens do Eyer é ajudar a resolver os problemas frequentes da documentação do disco óptico, como a falta, qualidade ruim ou a frequência insuficiente em pacientes ou suspeitos de glaucoma.

Atualmente, também utiliza o retinógrafo portátil em dois projetos de pesquisa em locais remotos. “Também pretendemos inclui-lo em outras iniciativas futuras”, revela.

Armazenamento em nuvem

As fotografias feitas com o Phelcom Eyer são enviadas simultaneamente para a plataforma on-line Eyer Cloud. “A capacidade de armazenar os exames na nuvem é excelente. Além disso, a facilidade no acesso às imagens também ajuda bastante”, observa.

O Eyer Cloud é integrado ao equipamento, o que permite armazenar e gerenciar os exames dos pacientes. Todos os dados capturados são sincronizados automaticamente com o sistema, permitindo que subam para a nuvem com total segurança.

Com as informações disponíveis na web, o diagnóstico pode ser feito por um médico localizado em qualquer lugar do mundo.

Além de garantir o backup em um servidor seguro, o usuário tem todos os dados organizados em uma interface amigável, funcional e intuitiva. Além disso, a plataforma pode ser acessada no próprio aparelho ou por celular, tablet e computador.

Se não houver acesso à internet no momento do exame, as imagens ficam salvas no aparelho e são enviadas para a nuvem assim que houver conexão.

Para aprimorar ainda mais o sistema, Prata sugere o acréscimo de uma função que permita a comparação seriada das fotografias ao longo dos anos. “O ideal seria fazer uma sobreposição dessas imagens para facilitar a avaliação de progressão e identificar se houve alguma mudança”, explica.

Suporte de lâmpada de fenda

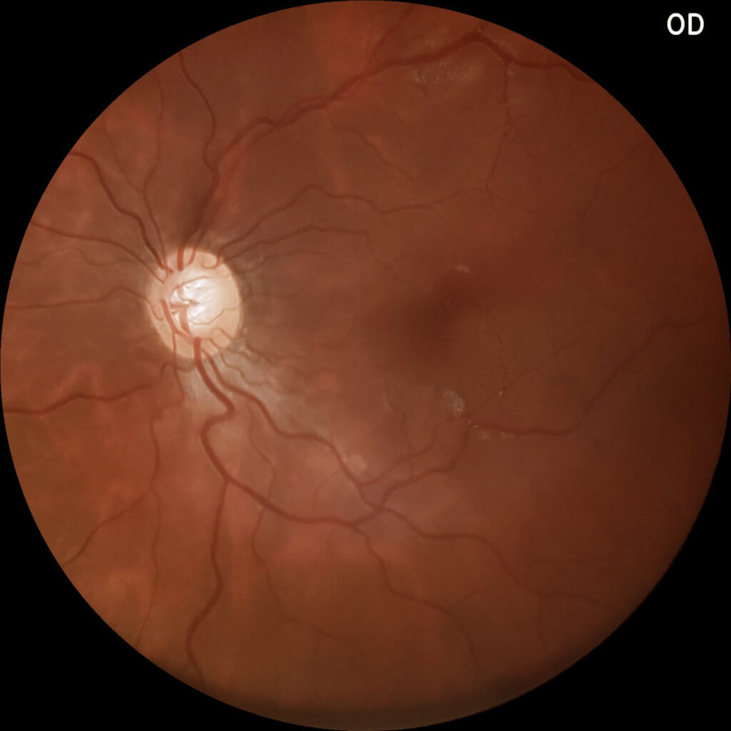
Foto do disco óptico – olho direito. Foto: Tiago Prata

Para quem utiliza o Phelcom Eyer com frequência no consultório, há a possibilidade de fixar o aparelho no suporte de lâmpada de fenda. O glaucomatólogo destaca que a fotografia do fundo do olho acaba ficando mais nítida. “Como trabalhamos muito com pacientes idosos, posicionar melhor a cabeça, de uma maneira mais fixa e confortável, acaba resultando numa qualidade melhor. Isso porque você tem menos artefato de movimento na imagem”.

O suporte refaz a experiência de retinógrafos de mesa. Além disso, auxilia para a manutenção do distanciamento social nos atendimentos, já que o profissional não precisa encostar na testa do paciente como ocorre no exame tradicional.

*O depoimento do glaucomatólogo Tiago Prata sobre o uso do Phelcom Eyer em avaliações de pacientes portadores de glaucoma não está relacionado com quaisquer relações comerciais com a Phelcom Technologies.

Simulador Eyer2

Retinógrafo portátil e eye camera Eyer2

Invista em potência, versatilidade e inteligência para simplificar a rotina do consultório.

Solicitar orçamento

Icon Button Request A QuoteSolicitar orçamento

Fechar

Ico Back

Depois

Solicitar orçamento

Preencha o formulário abaixo e entraremos em contato em breve.

    Ao clicar em Solicitar, concordo com a Política de Privacidade e os Termos de Uso, permito que a Phelcom me contate e reconheço que o Eyer é um dispositivo médico (Anvisa classe II) exigindo a supervisão de um profissional com CRM para uso e interpretação das imagens.
    Ico Form Success

    Solicitar orçamento

    Nossa equipe entrará em contato com você em breve.

    Fechar

    …complete suas informações

      Ao clicar em Solicitar, concordo com a Política de Privacidade e os Termos de Uso, permito que a Phelcom me contate e reconheço que o Eyer é um dispositivo médico (Anvisa classe II) exigindo a supervisão de um profissional com CRM para uso e interpretação das imagens.
      Ico Back

      Depois

      Ico Form Success

      Obrigado por completar suas informações

      FECHAR

      Ico Back

      Depois

      Solicite e comece SEU TEST DRIVE

      Por favor, preencha o formulário abaixo que entraremos em contato.

        x

        Solicitar Orçamento

        Ao clicar em Solicitar, concordo com a Política de Privacidade e os Termos de Uso, permito que a Phelcom me contate e reconheço que o Eyer é um dispositivo médico (Anvisa classe II) exigindo a supervisão de um profissional com CRM para uso e interpretação das imagens.
        Ico Form Success

        Obrigado!

        Nosso time comercial logo entrará em contato para finalizar o processo.

        FECHAR

        Ico Back

        Later

        Solicite mais informações

        Por favor preencha o formulário abaixo e entraremos em contato com você.

          x

          Solicitar EyerMaps

          Ao clicar em Solicitar, concordo com a Política de Privacidade e os Termos de Uso, permito que a Phelcom me contate e reconheço que o Eyer é um dispositivo médico (Anvisa classe II) exigindo a supervisão de um profissional com CRM para uso e interpretação das imagens.
          Ico Form Success

          Obrigado!

          Nossa equipe comercial entrará em contato em breve para finalizar o processo. Nossa equipe comercial entrará em contato em breve para finalizar o processo.

          Fechar